Nowoczesna praktyka stomatologiczna Lublin
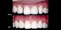
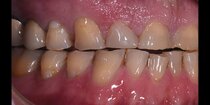
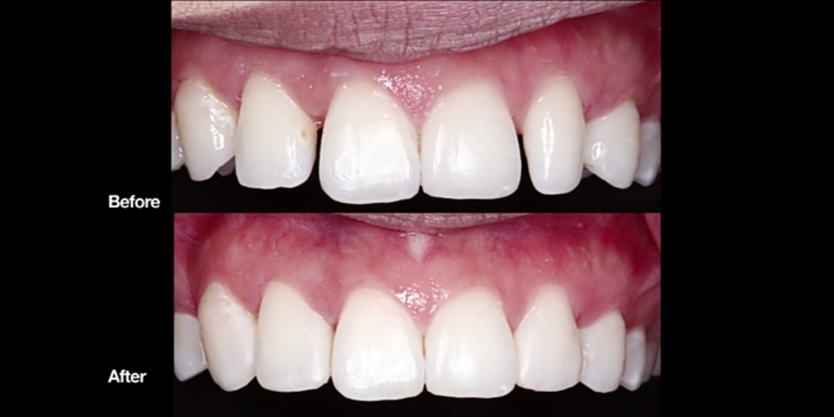
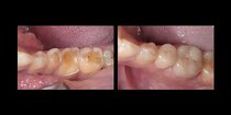
Galeria

O nas

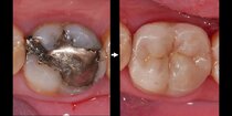
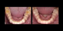
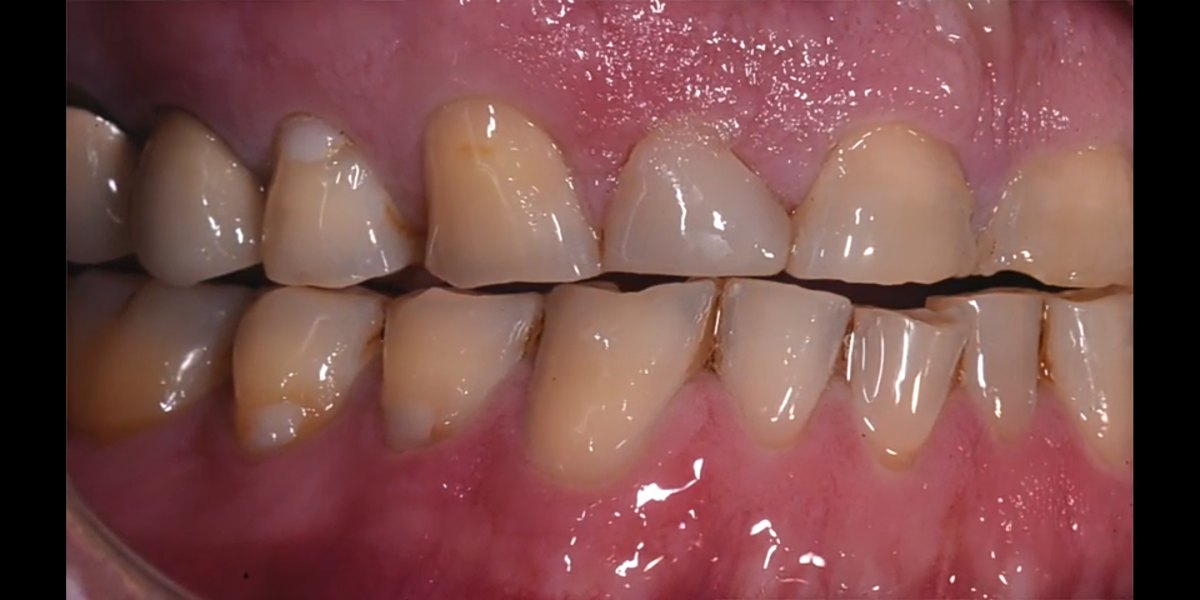
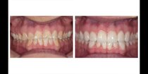
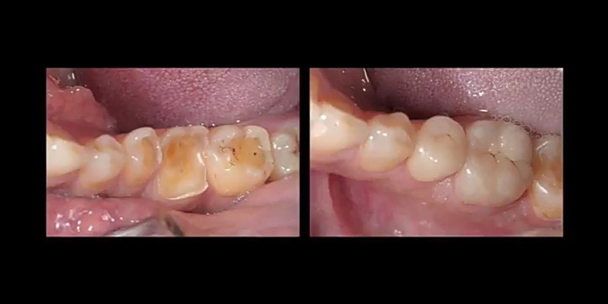
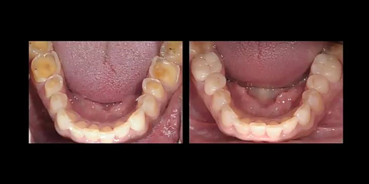
Klinika zapewnia profesjonalną, kompleksową opiekę stomatologiczną na najwyższym poziomie.

Naszą specjalnością jest protetyka, implantologia z wykorzystaniem technik Sterowanej Regeneracji Kości (GBR) oraz stomatologia estetyczna.

Dane teleadresowe

  PRIMADENTAL
ul. Relaksowa 22/2
20-819 Lublin

  813 070 068

  kontakt@primadental-lublin.pl

Szukaj