Starcie zębów, Odbudowa zęba Lublin
Starcie zębów - odbudowa w Lublinie
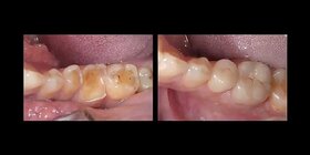
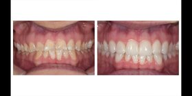
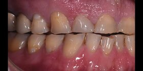
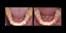
Starte zęby są coraz częstszym problemem dotykającym naszych pacjentów – jego rozwiązaniem jest odbudowa, którą wykonujemy w naszej klinice w Lublinie.
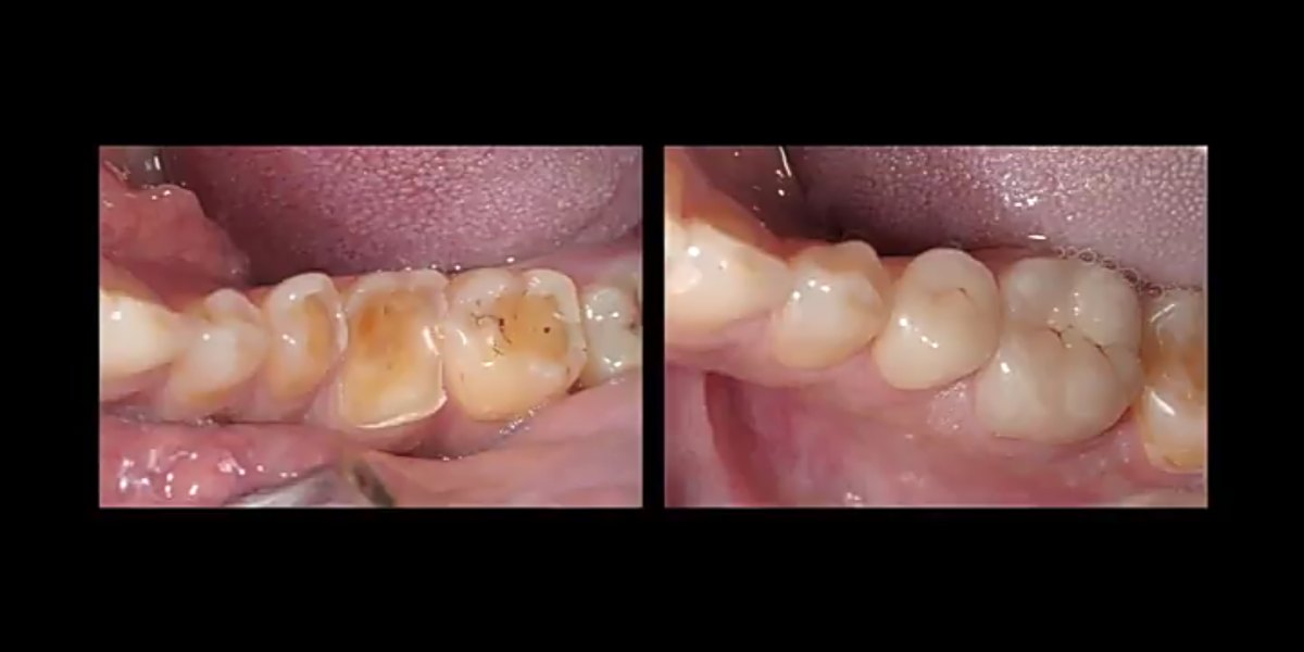
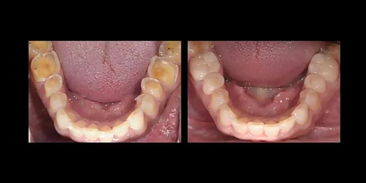
Starcie polega na zmniejszeniu grubości, a w konsekwencji utracie zewnętrznych warstw tkanek. Każdy z nas w ciągu swojego życia ściera zęby. Jednakże niestety coraz częściej pojawia się problem uogólnionego patologicznego ścierania. Dotyczy on często młodych ludzi i prowadzi nie tylko do problemów estetycznych, ale również zaburza funkcję żucia. Stwarza również inne dolegliwości: wzmożoną wrażliwość na zimne, gorące i kwaśne pokarmy, przebarwianie się uzębienia. Stają się ostre, kaleczą tkanki miękkie. Na skutek zmniejszenia wysokości zwarcia pojawiają się problemy w stawie skroniowo-żuchwowym, często ból w okolicy uszu, twarzy. Wszystko to sprawia, że konieczna jest odbudowa zęba, którą wykonujemy w naszej klinice w Lublinie.
Jak odbudować starte zęby w Lublinie?
W naszym Centrum stomatologicznym w Lublinie leczenie rozpoczynamy od ustalenia przyczyny starcia zębów. W tym celu przeprowadzamy kilkuetapowe badanie diagnostyczne, zwane deprogramacją Koisa. Polega ona na znalezieniu i rejestracji tzw. Relacji Centralnej, czyli takiego położenia żuchwy, które jest niezależne od działania mięśni. (Gwarantuje nam ono długoczasowe, bezawaryjne funkcjonowanie wykonanej rekonstrukcji zwarcia). W kolejnym etapie analizujemy i oceniamy zwarcie pacjenta na modelach gipsowych w artykulatorze i planujemy leczenie. Przy niewielkim stopniu starcia zębów często postępowanie sprowadza się do korekty zwarcia. W zaawansowanym stopniu konieczna jest odbudowa utraconych tkanek zębów. Stosowane są tu metody zachowawcze (odbudowa specjalnym, dedykowanym materiałem kompozytowym o twardości równej do twardości szkliwa) oraz metody protetyczne tzn. onlye, licówki, korony.
Etapy odbudowy zębów w Lublinie
Po zakończeniu leczenia u pacjentów predysponowanych do zaciskania i zgrzytania zębami konieczne jest wykonanie szyny relaksacyjnej, aby zapobiec ponownemu niszczeniu zębów. Szynę stosujemy w nocy.
Jest to twarda nakładka akrylowa na zęby dolne. Rozklinowuje ona powierzchnie zębów a dzięki temu że tworzywo akrylowe jest bardziej miękkie od szkliwa samo ulega powolnemu ścieraniu chroniąc w ten sposób odbudowane zęby . Ponadto zmniejsza napięcie mięśni żucia oraz odciąża staw skroniowo-żuchwowy, przyczyniając się do zmniejszenia dolegliwości bólowych spowodowanych nadmierną aktywnością mięśni lub uciskiem na staw, z którym wiąże się starcie zęba.
Starcie zębów, odbudowa zęba Lublin – jakie są najczęstsze przyczyny?
Współcześnie wyróżnia się wiele przyczyn, które odpowiadają za starcie zębów, wymagających odbudowy. Mowa tutaj o tzw. bruksizmie, wadach zgryzu, niewłaściwej higienie jamy ustnej, a także o w brakach w uzębieniu. Z doświadczenia wiemy, że zjawisko to dotyczy zarówno dzieci, jak i osób w sile wieku czy też starszych.
U dorosłych wycieranie się zębów jest sytuacją wymagającą leczenia – jak najszybszej odbudowy. Starcie zębów jest zazwyczaj oznaką stresującego trybu życia oraz niezdrowego odżywiania. Często spotykaną przyczyną pojawiania się problemów jest też obgryzanie ołówków, okularów czy nawet paznokci. Kontakt z twardymi materiałami niekorzystnie wpływa na szkliwo, które ściera się pod ich wpływem.
Odbudowa zęba Lublin - dlaczego warto się zdecydować na skorzystanie z tej opcji?
Sporo osób widząc, że jeden lub kilka zębów zaczęło się ścierać, bagatelizuje tę sytuację, nie zauważając w tym większego problemu. Jednak takie zjawisko może prowadzić do poważnych konsekwencji zdrowotnych, ale nie tylko.
Odbudowa zęba w Lublinie, w naszej placówce, to przede wszystkim szansa na zadbanie o stabilne utrzymanie uzębienia na odpowiednim miejscu. Gdy jeden zaczyna się ścierać, to z kolei wpływa na podparcie sąsiednich. W konsekwencji zęby po bokach mogą zacząć się przechylać lub przesuwać, co stanowi niekomfortową sytuację pod względem wyglądu oraz komfortu w trakcie jedzenia. Co istotne, kiedy zęby poruszają się w zębodołach, istnieje ryzyko ich wypadnięcia. Natomiast całkowity brak któregokolwiek z elementów uzębienia prowadzi do jeszcze większych konsekwencji i trudności w codziennym funkcjonowaniu.
Co więcej, starty ząb powoduje również zakłócenie w obszarze estetyki. Uzębienie o nierównych kształtach czy nieregularna linia zgryzu zaburza symetrię uśmiechu. A jeśli zęby zostały już bardzo mocno starte, między nimi mogą tworzyć się nieestetyczne szczeliny. Taka sytuacja powoduje obniżony poziom samooceny, kompleksy w obrębie uzębienia czy ogranicza pewność siebie w trakcie nawiązywania kontaktu z innymi.
Ponadto odbudowa zęba w Lublinie to opłacalny krok pod względem przyszłości. Inwestycja w tę procedurę stomatologiczną sprawi, że uzębienie będzie mocniejsze i trwalsze. Nasi specjaliści wykorzystują niezwykle wytrzymałe materiały, dzięki czemu odbudowane zęby stają się odporniejsze na działanie czynników, które dotychczas przyczyniały się do ich ścierania. To sprawia, że problem zostaje rozwiązany, a uzębienie zachowa swój piękny, zdrowy wygląd przez wiele kolejnych lat.
Starcie zębów, odbudowa zęba Lublin - procedura przeprowadzana przez prawdziwych specjalistów
Aby cały proces odbudowy zęba w Lublinie przebiegł sprawnie, bezboleśnie, a przede wszystkim dał oczekiwane efekty, warto postawić na naszych specjalistów z kliniki PRIMADENTAL. Stomatolodzy doskonale znają tego typu problem, jego podłoże oraz wymagane działania, dzięki czemu osiągają rezultaty pożądane przez pacjentów. Odbudowa zęba w Lublinie w ich wydaniu odznacza się wykorzystaniem solidnych materiałów, bezpieczeństwem osoby siedzącej na fotelu oraz doskonałą trwałością
Nasi doświadczeni specjaliści z Lublina pomogą Państwu przywrócić stan uzębienia do pełni zdrowia! Aby móc skorzystać z tej możliwości, zachęcamy do skontaktowania się w celu umówienia wizyty. Można to zrobić za pośrednictwem telefonu, e-maila, formularza kontaktowego bądź osobiście - w gabinecie PRIMADENTAL na przy Relaksowej.
Razem z Państwem znajdziemy dogodny termin wizyty oraz podpowiemy, w jaki sposób należy się do niej przygotować, aby cała procedura przebiegła bezproblemowo. Co więcej, jesteśmy również gotowi na pytania ze strony pacjentów - wyczerpująco na nie odpowiemy. Zachęcamy do skorzystania z oferty naszej placówki PRIMADENTAL!
Czytaj więcej
Odbudowa zęba, Lublin – sposób na większy komfort
Starcie szkliwa i zębiny nie dotyczy wyłącznie estetyki. To częsta przyczyna nadwrażliwości, przeciążenia stawu skroniowo-żuchwowego oraz trudności w rozdrabnianiu pokarmów. W naszej praktyce traktujemy problem całościowo. Odbudowa przywraca brakujące wysokości zwarcia, wygładza ostre krawędzie i stabilizuje kontakty międzyzębowe, co przekłada się na mniejszą bolesność podczas jedzenia i picia oraz na lepszą artykulację. Dzięki temu codzienne czynności stają się przewidywalne i wygodne. Odbudowa zęba w Lublinie to również inwestycja w równowagę mięśni żucia.
Indywidualne podejście – odbudowa zęba, Lublin
Każdy przypadek analizujemy indywidualnie. Rozpoczynamy od diagnostyki prowadzącej do ustalenia przyczyny starcia, a następnie planujemy kolejność działań, tak aby odtworzyć prawidłowe relacje w stawie i wprowadzić trwałe kontakty zwarciowe. Po zakończeniu leczenia przekazujemy zalecenia dotyczące higieny i kontroli. Odbudowa zęba w Lublinie to proces zaplanowany tak, by efekt był nie tylko ładny na zdjęciu, ale przede wszystkim stabilny w codziennym życiu i odporny na dalsze ścieranie. Zapraszamy do kontaktu w celu ustalenia terminu konsultacji oraz przygotowania spersonalizowanego planu postępowania.
Albo nadbudowujemy zęby materiałem do odbudowy zwarcia (specjalny kompozyt o twardości i śieralności równej tkankom zęba) lub wykonujemy licówki okluzyjne ceramiczne. Leczenie prowadzone jest najczesciej po procesie deprogramacji aby efekt był możliwie jak najbardziej trwały od 250- kompozyt, do 2000- lic. cyrconowa kompozyt- na 1 wizycie, Licówka- kilka dni nieStarte zęby jak odbudować?/Jak zregenerować starte zęby? ▶
Ile kosztuje odbudowa zęba? ▶
ile trwa odbudowa zęba? ▶
Czy odbudowa zęba boli? ▶






