
Protetyka Lublin
Ubytki pojawiające się w zębach, często na skutek wypadków czy chorób uzębienia, utrudniają codzienne funkcjonowanie, w tym spożywanie posiłków, ale mogą być również przyczyną kompleksów. Nasz gabinet stomatologiczny oferuje usługi protetyczne w Lublinie, które mają na celu uzupełnienie ubytków oraz przywrócenie funkcjonalności zgryzu.
Protetyka w Lublinie – protezy elastyczne i nylonowe, wstawianie zębów
Leczenie protetyczne wymaga wywiadu medycznego, wykluczając lub potwierdzając choroby zębów, ubytki i potencjalne schorzenia towarzyszące. Po zebraniu niezbędnych informacji opracowywany jest indywidualny plan leczenia danego pacjenta zgodny z jego stanem zdrowia. Protetyka obejmuje różne rodzaje protez oraz implantów, co pozwala na ich maksymalne dopasowanie do preferencji samego pacjenta. Przed wykonaniem zabiegu należy najpierw wyleczyć wszystkie schorzenia zębów, a dopiero później przejść do implantologii. Zmniejsza to znacznie możliwość wystąpienia powikłań związanych ze stanem zapalnym w jamie ustnej.
W wypadku zaniedbania ubytku nawet jednego zęba może dojść do wielu powikłań wynikających z utraty tzw. napięcia międzyzębowego. Prowadzi to do przesunięć i obrotów zębów sąsiednich, a także wydłużania się zębów antagonistycznych. Dochodzi również do utraty miejsc stycznych, co staje się przyczyną urazów brodawek międzyzębowych i pozostałych tkanek przyzębia. W konsekwencji dochodzi do zaburzeń w stawie skroniowo-żuchwowym oraz przewlekłego stanu zapalnego przyzębia.
Rodzaje usług protetycznych dostępne w Lublinie w PRIMADENTAL
W zależności od zakresu utraty tkanek zęba wykonamy w naszej placówce w Lublinie następujące protezy:
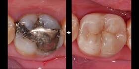
- inlay/onlay – gdy zniszczenie zęba jest jeszcze stosunkowo niewielkie;
- koronę – przy większym zniszczeniu zęba;
- wkład koronowo-korzeniowy i koronę w przypadku, gdy został sam korzeń. Wówczas wkładem koronowo-korzeniowym zacementowanym w korzeniu odtwarzamy "kikut" zęba a następnie na tym wkładzie wykonuje się koronę.
Protetyka w Lublinie – wstawianie zębów
Warto mieć na uwadze, że wstawianie zębów przez protetyka (Lublin) może zapobiegać nie tylko upośledzeniom ich funkcji, ale i ma ogromny wpływ na zgryz danej osoby. Protezy elastyczne - wstawianie zębów.
Istnieje kilka opcji leczenia: usunięcie korzenia i
- natychmiastowe wprowadzenie implantu
- odczekanie 3-6 tygodni i wprowadzenie implantu
- odczekanie 3-4 miesięcy i wprowadzenie implantu
Decyzję o terminie wprowadzenia implantu, wstawienia zęba, podejmujemy po wnikliwej analizie konkretnego przypadku i w ramach konsultacji z dobrym protetykiem (Lublin), który tworzy zespół naszej kliniki.
Leczenie implantologiczne :
- Odbudowa zęba na implancie służy relatywnie najdłużej, nierzadko całe życie
- Nie ma potrzeby ingerencji w zęby sąsiednie, nie uszkadzamy ich
Jest to leczenie, które zapobiega dalszemu zanikowi kości (po ekstrakcji zawsze dochodzi do resorbcji/zaniku kości i zanik ten trwa przez całe życie).
Leczenie implantologiczne wiąże się z dużym kosztem początkowym – jednak jest to jednorazowa inwestycja, ponieważ uzupełnienia nie muszą być uzupełniane po latach.
Wykonanie mostu uzupełniającego brak zęba. Jest to wykonane przez protetyka (Lublin) uzupełnienie nieruchome, zacementowane na stałe, którego nie da się samodzielnie zdjąć. Jest również estetyczne i wygodne - nie zajmuje więcej miejsca w jamie ustnej niż zęby własne. Wiąże się jednak niestety z opracowaniem co najmniej dwóch zębów sąsiednich pod korony, do których będzie doczepiony (na stałe) ząb brakujący. Mosty porcelanowe mogą być wykonane na bazie tytanu, stopu szlachetnego, czystego złota (w technice galwanoformingu) lub nieszlachetnego albo też w ogóle nie zawierać metalu- mosty pełnoceramiczne (cercon, procera, emax). W przypadku braku pojedynczego zęba możemy również wykonać most adhezyjny.

Protetyka Lublin – protezy elastyczne wybrakowanych zębów
W zależności od ilości zębów brakujących protetyk w Lublinie może wykonać uzupełnienie stałe (którego pacjent nie jest w stanie sam wyjąć) lub ruchome (które pacjent musi regularnie wyjmować do mycia).
Uzupełnienia stałe (protezy) to mosty. Do wykonania mostu potrzebne są jednak minimum dwa mocne zęby filarowe, na których można "dowiesić" maksymalnie trzy brakujące zęby. W przypadku braku odpowiedniej ilości zębów filarowych lub gdy są one niekorzystnie rozmieszczone, możemy oprzeć most na implantach. W ramach świadczonych przez protetyka w Lublinie usług wstawiania uzębienia proponujemy m.in. protezy na zatrzaskach, nylonowe i elastyczne.
Rodzaje protez wykonywanych w Lublinie
W naszej klinice w Lublinie możliwe jest również wykorzystanie technologii podparć szklanych, które w niektórych przypadkach są alternatywą dla implantów i pozwalają niewielkim kosztem uniknąć protezy wyjmowanej. Kwalifikacja pacjentów do tego typu uzupełnień odbywa się indywidualnie.
W każdym przypadku możliwe jest wykonanie protezy wyjmowanej. Może to być:
- proteza szkieletowa – umocowana jest zazwyczaj na specjalnych zamkach, zatrzaskach lub koronach teleskopowych. Siły żucia przenoszone są fizjologicznie. Proteza jest stabilna, zapewnia komfort użytkowania oraz dobry efekt estetyczny.
- proteza miękka (nylonowa) – nylon jest materiałem niełamliwym, o dużej elastyczności, co sprawia, że protezy elastyczne te są praktycznie niezniszczalne. Perfekcyjnie dopasowują się do podłoża, są miękkie, nie powodują odleżyn. Są również estetyczne – nie zawierają metalowych klamer, a materiał nylonowy jest transparentny i hypoalergiczny, komponuje się z naturalną tkanką.
Wstawianie zębów w Lublinie – proteza na zatrzaskach
Proteza na zatrzaskach uważana jest za wysoce stabilną, co ułatwia przeżuwanie jedzenia. Również jej higiena okazuje się bardzo prosta, podczas gdy zastosowanie metalu do jej wykonania przekłada się na trwałość. Z kolei zaliczane to elastycznych protezy nylonowe są lekkie, nie uczulają i łatwe w codziennym użytkowaniu. Wstawianie zębów w Lublinie przy użyciu jednej z tych metod jest możliwe w naszym gabinecie.
Protetyk w Lublinie dobiera metodę leczenia, biorąc pod uwagę stan zdrowia pacjenta, a także indywidualne wskazania uzyskane w trakcie wywiadu medycznego. Leczenie ma na celu uzupełnienie ubytków zębowych i dopasowanie protez to naturalnego wyglądu zębów – są one podobnej wielkości, a także zabarwienia, dzięki czemu nie wyróżniają się na tle innych.

Mosty adhezyjne
Uzupełnienia te mają tę zaletę, że nie wymagają szlifowania zębów sąsiednich pod korony. Jako retencję wykorzystują miejsca po starych wypełnieniach, które usuwamy i w ich miejsce wprowadzamy inlaye lub onlaye, na których trzyma się ząb brakujący. Materiał tego typu uzupełnień to pełna ceramika lub kompozyt wzmacniany włóknem szklanym. Mostami adhezyjnymi dopasowanymi przez protetyka odbudowujemy zazwyczaj pojedyncze braki zębów.
GALWANOFORMING
Galwanoformingowe/złote czapeczki stosujemy jako podbudowę pod ceramikę przy wykonaniu koron, wkładów, nakładów lub na korony wtórne w pracach na teleskopach. Tego rodzaju protezy są zbudowane z czystego złota (99,9% Au). To rafinowane złoto otrzymywane jest w procesie elektrolizy chemicznej, gdzie odkłada się ono bezpośrednio na obiektach w postaci czapeczek. Złoto ma również działanie antyseptyczne, regulujące florę bakteryjną. Zapewne on również estetykę uśmiechu, gdyż czyste złoto w trakcie wypalania ceramiki nie zmienia swojej barwy na brunatną jak w przypadku stopów. W procesie tworzenia protezy w formie czapeczek uzyskujemy wysoką szczelność brzeżną, gdyż złoto wytrącane jest bezpośrednio na gipsowym kikucie oszlifowanego, wstawianego zęba. Wyeliminowany jest czynnik ludzki przy uszczelnianiu szyjki, a także niedokładności związane z ekspansją mas osłonowych stosowanych przy odlewach metalowych.
Protezy elastyczne dostępne w PRIMADENTAL w Lublinie
Protezy elastyczne stanowią jedną z form uzupełnień ruchomych, stosowanych w przypadku częściowych lub rozległych braków zębowych. Ich konstrukcja opiera się na materiałach o podwyższonej sprężystości, co umożliwia dopasowanie do zmieniających się warunków anatomicznych jamy ustnej. Tego typu protezy dostępne w Lublinie mogą być rozważane u pacjentów, u których klasyczne rozwiązania nie znajdują zastosowania z uwagi na budowę podłoża protetycznego lub inne ograniczenia kliniczne.
Jak wygląda wizyta u protetyka w PRIMADENTAL?
W naszej praktyce protetyki w Lublinie odbudowa utraconych tkanek i zębów zawsze jest poprzedzona rozmową i analizą stanu zdrowia ogólnego, ponieważ choroby współistniejące mogą wpływać na wybór rozwiązania i przebieg gojenia. Na tej podstawie przygotowujemy plan krok po kroku, którego celem jest przywrócenie:
- prawidłowych kontaktów zwarciowych,
- estetyki uśmiechu,
- komfortu żucia.
W zależności od wskazań proponujemy uzupełnienia stałe lub ruchome. Tak zaplanowana protetyka w Lublinie przywraca równowagę narządu żucia i zwiększa szanse na przewidywalny, długotrwały efekt.
Opieka pozabiegowa w protetyce – na czym polega?
Po stworzeniu uzupełnień zapewniamy instruktaż higieny, kontrole oraz ewentualne korekty, aby ułatwić pacjentowi utrzymanie stabilnego efektu w czasie. Protetyka wiąże się ze stałą opieką medyczną, która zaczyna się od diagnostyki i kończy dopiero wtedy, gdy odbudowany układ żucia pracuje bez dolegliwości.
Protetyka a równowaga narządu żucia
W przeciwieństwie do licówek dostępnych w Lublinie protezy wpływają nie tylko na estetykę, ale również na biomechanikę żucia i obciążenia przenoszone na zęby oraz stawy skroniowo-żuchwowe. Niewłaściwie dobrane lub źle dopasowane prace mogą prowadzić do przeciążeń, ścierania zębów własnych lub dolegliwości ze strony mięśni żucia. Z tego względu leczenie protetyczne uwzględnia nie tylko pojedynczy brak zęba, lecz cały układ zwarciowy pacjenta.
Znaczenie prawidłowej diagnostyki w leczeniu protetycznym
Leczenie protetyczne wymaga dokładnej oceny warunków panujących w jamie ustnej przed rozpoczęciem właściwych prac. Obejmuje to:
- analizę zwarcia,
- rozmieszczenia braków zębowych,
- stanu przyzębia,
- jakości tkanek podporowych.
Istotne jest również uwzględnienie wcześniejszych uzupełnień protetycznych oraz ich wpływu na funkcjonowanie narządu żucia.
Znaczenie kontroli i adaptacji do uzupełnień protetycznych
Po oddaniu pracy protetycznej istotny jest okres adaptacyjny. W tym czasie mogą być konieczne wizyty kontrolne umożliwiające ocenę kontaktów zgryzowych oraz ewentualna naprawa protez w Lublinie. Regularna kontrola pozwala również monitorować stan tkanek miękkich i przyzębia w bezpośrednim sąsiedztwie uzupełnień, co ma znaczenie dla ich prawidłowego funkcjonowania w dłuższej perspektywie.
Dziedzina stomatologi pozwalająca uzupełnić braki utraconych zębów Konsultacja 100 zł Koszt konsultacji jest zwracany po rozpoczęciu leczenia przez pacjenta Jest wiele różnych rozwiązań. Koszt jest określany indywidualnie u każdego pacjentaProtetyka stomatologiczna co to jest? ▶
Ile kosztuje wizyta u protetyka? ▶
Ile kosztuje proteza zębowa? ▶






