
Koronki, licówki - stomatologia estetyczna Lublin
Choroby uzębienia, a także wady estetyczne mogą mieć wpływ na samopoczucie, a także sprawiać trudności w codziennym funkcjonowaniu i spożywaniu posiłków. Oprócz leczenia podstawowego w tym zakresie dostępne są także sposoby z zakresu stomatologii estetycznej, które pozwalają przywrócić odpowiedni wygląd uśmiechu, jak np. licówki w Lublinie dostępne w Centrum PRIMADENTAL. Zajmujemy się nie tylko leczeniem, ale również poprawą wyglądu – nasza oferta obejmuje m.in. porcelanowe licówki na zęby i korony cyrkonowe.
Zabiegi stomatologii estetycznej wymagają odpowiedniego przygotowania. Pierwszym etapem jest wykonanie szczegółowego wywiadu medycznego przez lekarza stomatologa, co pozwala na wykluczenie ewentualnych chorób towarzyszących, które mogłyby być przeszkodą do wykonania koron lub licówek. Po uzyskaniu niezbędnych informacji lekarz wskazuje na najlepszą metodę wdrożenia planowanych rozwiązań estetycznych. Kolejny etap to wyznaczenie wizyty zabiegu.
Koronki i licówki w Lublinie - cyfrowe projektowanie uśmiechu
DSD to koncepcja cyfrowego, indywidualnego projektowania uśmiechu i wizualizacji planu leczenia oraz poznawanie przewidywanego rezultatu – nowego uśmiechu pacjenta. Celem stosowania koncepcji DSD jest przejrzysty plan leczenia, który rozłożony jest na z góry zaplanowane etapy. Wizualny plan leczenia dostępny jest dla lekarza i pacjenta, podobnie jak wizualizacja przewidywanych rezultatów. Lekarz zbiera wywiad co do oczekiwań pacjenta i rejestruje na filmie naturalną mimikę pacjenta. Następnie przy pomocy programów komputerowych wprowadza na zdjęcia planowane zmiany, czyli np. wykonaniu korony cyrkonowej lub licówki porcelanowej na zęby.
ETAPY DSD – PROJEKTOWANIE UŚMIECHU Z LICÓWKAMI NA ZĘBY W LUBLINIE
Cyfrowe projektowanie uśmiechu to nowatorska technika, która pozwala na uzyskanie jak najlepszych efektów. Naturalny uśmiech to cel wielu osób, które borykają się z pewnymi ubytkami w zębach - odbarwienia, przebarwienia czy stany zapalne. Z pomocą doświadczonego lekarza stomatologii estetycznej (Lublin) możliwy jest całkowity powrót do zdrowia oraz uzyskanie efektu pięknego uśmiechu. Jak przedstawiają się poszczególne etapy prac stomatologii estetycznej? Lublin może poszczycić się w tym zakresie nowoczesnymi sprzętami oraz narzędziami, co wpływa znacząco na zadowolenia samych pacjentów.
- W pierwszym etapie projektowanie, czyli przygotowanie koron cyrkonowych bądź licówek porcelanowych, polega na badaniu twarzy pacjenta, zębów i jamy ustnej, a następnie analiza zależności między zębami, ustami, uśmiechem a rysami twarzy i mimiką
- Wykonywany jest skan zębów, potrzebny do wykonania Wax-Up czyli do komputerowej symulacji nowego uśmiechu
- Wykonywane są profesjonalne zdjęcia oraz film z krótką ekspresją mimiki pacjenta
- Wykonywane są badania dodatkowe (RTG, Tomografia komputerowa)
- Lekarz analizuje wszystkie wymienione zależności i posługując się cyfrowymi planszami projektuje nowy uśmiech (jeżeli robi to w trakcie wizyty może konsultować projekt z pacjentem)
- Kolejny etap projektowania to przygotowanie przez pracownię protetyczną wzoru uśmiechu, który można pokazać pacjentowi. Lekarz fotografuje go lub nagrywa film z tymczasowymi nowymi zębami.
- Na koniec omawiamy z pacjentem cały plan leczenia, terminy i koszty leczenia.
Wybielanie zębów w ramach stomatologii w Lublinie
Jedną z metod wybielania zębów, jaką praktykuje nasze Centrum z Lublina, jest metoda „nakładkowego wybielania zębów”.
Metoda ta zakłada długi czas ekspozycji zębów na substancję wybielającą. Preparat wybielający aplikowany jest do specjalnej szyny, którą następnie pacjent wprowadza na zęby przed snem. Długi czas ekspozycji zębów na substancję wybielającą umożliwia zastosowanie preparatów wybielających o niższym stężeniu substancji czynnej, co korzystnie wpływa na bezpieczeństwo metody. Kolejną zaletą tej metody jest możliwość przerwania dalszego wybielania i skrócenie planu zabiegowego. Standardowo zabieg powtarza się co wieczór przez okres 1 do 2 tygodni.
Inną metodą wybielania zębów jest wybielanie jednoseansowe przeprowadzane w gabinecie. Służy do tego specjalna lampa aktywująca żel wybielający. Urządzenie wybielające ZOOM2 emituje zimne niebieskie światło o wysokiej częstotliwości 480-520 nanometrów. Konstrukcja optyczna urządzenia eliminuje szkodliwe światło podczerwone oraz nadfioletowe. Trzydziestominutowa procedura natychmiastowo utlenia 16 lub więcej zębów, przywracając im ich naturalną biel. Metoda ta pozwala na wybielenie od 5 do 14 odcieni według skali VITA. Niska temperatura zimnego światła redukuje ryzyko podrażnienia nerwów podczas zabiegu aparaturą ZOOM2.
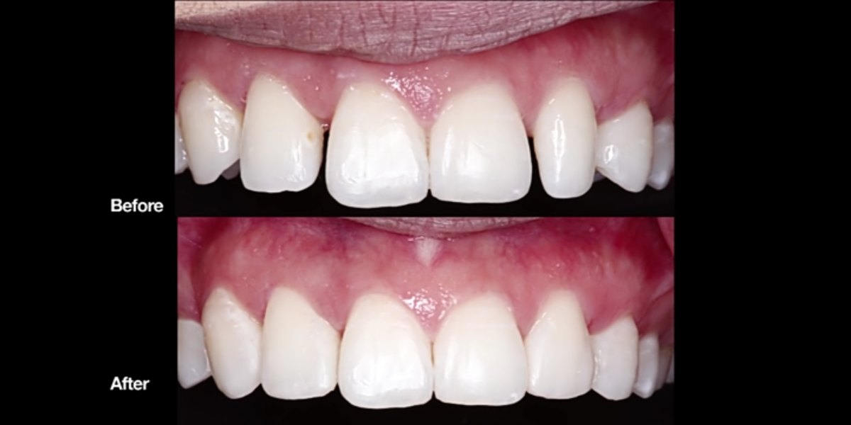
Licówki porcelanowe na zęby
W przypadku silnych, rozległych przebarwień zębów opornych na wybielanie, w ramach projektowania uśmiechu wykonujemy w naszym centrum w Lublinie licówki porcelanowe. Pokrywają one, wyłącznie przednią (widoczną) powierzchnię zęba, przez co wymagają jedynie niewielkiego opracowania jego powierzchni. Licówki porcelanowe nie zmieniają swego koloru. Umożliwiają także:
- zmianę kształtu zębów,
- zamknięcie szpar między zębami,
- wydłużenie patologicznie startych zębów.

Korony protetyczne porcelanowe i cyrkonowe
W przypadku zębów osłabionych dużą ilością wypełnień lub w innych sytuacjach uniemożliwiających założenie porcelanowych licówek rozwiązaniem są korony cyrkonowe. Przygotowanie zęba do zabezpieczenia koroną protetyczną, związanym z oferowanym przez nas projektowaniem uśmiechu, wiąże się z koniecznością oszlifowania zęba w celu stworzenia miejsca dla tworzywa uzupełnienia. Może to być:
- porcelana napalona na metal (tytan, złoto lub metal nieszlachetny) - konstrukcja takiej korony cechuje się dużą wytrzymałością, jednakże brak przepuszczalności światła przez część metalową ogranicza możliwość pełnego odtworzenia cech naturalnego zęba; zastosowanie stopu szlachetnego (z uwagi na jego właściwości oligodynamiczne) redukuje odkładanie się płytki nazębnej wokół koron, poprawia również estetykę z uwagi na ciepły kolor stopu w okolicy obrzeża korony (nie następuje pociemnienie porcelany u podstawy korony ani sinienie dziąseł).
- ceramika bez podbudowy metalowej, która odtwarza naturalne cechy zęba np. głębię koloru, przezierność brzegu siecznego. Korony te mogą być zastosowane na zęby żywe lub martwe. Stosując korony pełnoceramiczne na zęby martwe, obligatoryjnie wzmacniamy je wkładami koronowo-korzeniowymi porcelanowymi lub z włókna szklanego przepuszczalnymi dla światła. Zastosowanie ceramiki bezmetalowej eliminuje ryzyko coraz częstszych uczuleń na jony metali.
Korony pełnoceramiczne Cercon® www.cercon.pl
Technologia wykonania korony cyrkoniowej CAD/CAM opiera się na komputerowym skanowaniu i obróbce materiału będącego specjalną kompozycją ceramiki cyrkonowej ZrO2 stabilizowanej tlenkiem Y2O3. Materiał ten umożliwia wykonanie uzupełnień w dowolnym obszarze łuku do wielkości siedmiopunktowego mostu.
Korony porcelanowe - pełnoceramiczne Procera
Procera również wykorzystuje koncepcję CAD/CAM (Computer Aided Design/Computer Aided Manufacturing – komputerowo wspomagane projektowanie uśmiechu). Korona taka składa się czapeczki wykonanej z gęsto spiekanego tlenku glinu o wysokiej czystości, na którą napala się licującą porcelanę. Procera All Ceram to system cechujący się wysoką wytrzymałością i dokładnym dopasowaniem czapeczek.

Biżuteria nazębna
Ręcznie wyprofilowana biżuteria z opatentowanym wzorem pozwala wprowadzić unikalne elementy do technik stosowanych w stomatologii estetycznej. Dostępne są modele wykonane z żółtego lub białego złota oraz ozdobione szlachetnymi kamieniami. Nakładanie ozdób nazębnych nie niszczy struktur zęba, można je także zdjąć w dowolnym momencie.
Licówki bez szlifowania zęba
Licówki bez szlifowania (addycyjne) są bezinwazyjną i najbezpieczniejszą formą leczenia. Wykonane są w postaci ultracienkich płatków specjalnego rodzaju cyrkonu. Aby je wykonać, nie musimy preparować własnych tkanek zęba. Dzięki temu zęby pod licówkami pozostają nietknięte, a jeśli zajdzie taka potrzeba, można powrócić do ich wcześniejszego kształtu. Możemy je zastosować w przypadku np. niewielkich przebarwień zębów czy też w przypadku nieestetycznych wypełnień.
Przeciwwskazaniem do wykonania tych uzupełnień są niektóre wady zgryzu oraz zgrzytanie zębami.
Licówki porcelanowe na zęby – w jakim celu stosuje się projektowanie uśmiechu?
Projektowanie uśmiechu w kontekście licówek porcelanowych umożliwia ocenę proporcji zębów w odniesieniu do rysów twarzy, linii warg oraz dynamiki mimiki. Może uwzględniać również kolor oraz planowane zabiegi dodatkowe, np. wybielanie zębów w Lublinie. Analiza ta ma znaczenie nie tylko estetyczne, ale również funkcjonalne, ponieważ uwzględnia relacje zwarciowe oraz rozmieszczenie sił działających na zęby przednie.
Znaczenie materiałów estetycznych w odbudowie przedniego odcinka uzębienia
Materiały wykorzystywane w stomatologii estetycznej różnią się właściwościami optycznymi, wytrzymałościowymi oraz sposobem integracji z tkankami zęba. W przednim odcinku łuku zębowego szczególne znaczenie ma przezierność, odwzorowanie koloru oraz zachowanie naturalnych granic pomiędzy zębem a dziąsłem. Z tego względu materiał dobierany jest indywidualnie, w odniesieniu do konkretnego przypadku klinicznego. W PRIMADENTAL wykorzystujemy licówki kompozytowe w Lublinie, warianty porcelanowe oraz cyrkonowe.
Adaptacja pacjenta do zmian estetycznych w obrębie uzębienia
Korony i licówki dostępne w Lublinie wiążą się nie tylko ze zmianą wyglądu zębów, ale również z koniecznością adaptacji narządu żucia do nowych warunków. Dotyczy to m.in.:
- odczuwania kontaktów zwarciowych,
- pracy mięśni żucia,
- artykulacji dźwięków.
Okres adaptacyjny jest naturalnym etapem po zakończeniu leczenia estetycznego i podlega kontroli podczas wizyt pozabiegowych. Pozwala to ocenić funkcjonowanie uzupełnień oraz wprowadzić ewentualne korekty, jeśli zajdzie taka potrzeba.
Stomatologia estetyczna – koronki, licówki
W naszej praktyce stomatologia estetyczna łączy przewidywalne procedury kliniczne z wymaganiami estetyki uśmiechu. Na etapie planowania wykorzystujemy diagnostykę fotograficzną oraz RTG cyfrowe, a przy rekonstrukcjach twardych tkanek korzystamy również z analiz laboratoryjnych. Korony projektujemy tak, aby odtwarzały kształt i proporcje właściwe dla zgryzu, a licówki pozwalają delikatnie skorygować kolor i linie brzegowe zębów przy oszczędnym przygotowaniu. Stomatologia estetyczna obejmuje również wybielanie systemem Zoom WhiteSpeed, które stanowi bezpieczne uzupełnienie kompleksowej terapii i pomaga uzyskać harmonijny odcień przed doborem materiałów. Koronki sprawdzają się przy większych zniszczeniach, natomiast licówki stosujemy wtedy, gdy priorytetem jest subtelna korekta i wysoka przezierność. Dzięki temu stomatologia estetyczna daje trwały i powtarzalny rezultat, a prace mogą być w pełni zintegrowane z uśmiechem i rysami twarzy.
Stomatologia estetyczna – koronki i licówki dopasowane do indywidualnych potrzeb
Każdy plan leczenia rozpoczynamy od rozmowy i analizy oczekiwań. Stomatologia estetyczna nie polega wyłącznie na poprawie koloru, lecz na przywróceniu harmonii uśmiechu bez kompromisów dla zdrowia tkanek. Koronki rekomendujemy, gdy konieczne jest kompleksowe wzmocnienie zęba i odbudowa jego kształtu. Licówki proponujemy, jeśli celem jest zmiana odcienia, korekta drobnych nierówności lub zamknięcie szpar bez nadmiernej ingerencji.
Licówki ceramiczne- 1600-2500 zł Licówki kompozytowe - 400-800 zł W celu wykonania licówki usuwamy minimalną ilość przebarwionego szkliwa - do 0,8mm maksymalnie tylko z przodu zęba bok i tył zęba pozostaje nietknięty. W przypadku licówek no prep ząb jest wogóle nie tknięty, ale tego typu licówkę nie zawsze można wykonać. Zależy to od pierwotnego kształtu zęba. Można, ale zazwyczaj wiąże się to z jej zniszczeniem Jak własny ząb, ale w ładnym kształcie i kolorze Jeśli wykonujemy licówkę no prep w każdej chwili można powrócić do stanu przed wykonaniem licówki. Licówki tradycyjne są na stałe. Trwałość licówek ocenia się średnio na kilka- kilkanaście lub kilkadziesiąt lat w zależności od rodzaju użytego do wykonania licówki materiałuIle kosztują licówki? ▶
Czy licówki niszczą zęby? ▶
Czy licówki można zdjąć? ▶
Jak wyglądają licówki? ▶
Czy licówki są na stałe? ▶
Ile wytrzymują licówki porcelanowe? ▶



